В Центре современных медицинских технологий «АКВА МЕД МАРИН» прием ведет врач УЗД высшей категории со стажем более 20лет - Пахалюк Александр Александрович. УЗИ-диагностика проводится на новейшем ультразвуковом диагностическом сканере Экспертного класса SonoScape S40Exp, в том числе и УЗИ детям с применением специальных детских датчиков. Цветной допплер помогает точной диагностике патологии сосудов и сердца у взрослых и детей.
УЗИ - это неинвазивный и безболезненный метод исследования состояния органов и тканей при помощи ультразвуковых волн. Ультразвуковые исследования основаны на способности ультразвука «отражаться» от внутренних органов и тканей, которые имеют различную плотность. Отраженные эхосигналы поступают в усилитель и специальные системы реконструкции, после чего появляются на экране телевизионного монитора в виде изображения.




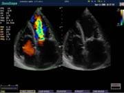
Компания SonoScape уделила особое внимание допплеровским режимам и является экспертом в своем классе, что позволяет с легкостью, но в то же время с уникальной точностью проводить исследования с постановкой наиболее точного диагноза.
На сегодняшний день УЗИ аппараты в Центре современных медицинских технологий «АКВА МЕД МАРИН» оснащены многофункциональными датчиками, что дает возможность проводить исследования широкого спектра взрослым и детям.
Подготовка к УЗ - исследованию
УЗИ органов брюшной полости (ОБП):
УЗИ мочеполовой системы:
Преимущества УЗИ перед другими методами диагностики:
Аппаратура и наши исследования

Ультразвуковые исследования, доплеровское сканирование сосудов в Центре современных медицинских технологий «АКВА МЕД МАРИН» выполняется при помощи первого и единственного аппарата в Керчи SonoScape S40Exp (экспертного класса, который оснащен множеством новейших функций, многократно улучшающих качество и информативность УЗИ-исследования).
В Центре современных медицинских технологий «АКВА МЕД МАРИН» при помощи профессиональной аппаратуры, проводится:
А также:
В Центре современных медицинских технологий «АКВА МЕД МАРИН» можно пройти следующие виды детского УЗИ:
ПОДГОТОВКА РЕБЕНКА К УЗИ:
На большинство исследований специальной подготовки не требуется, за исключением:
УЗИ органов брюшной полости: осматривается натощак. Детей 4-5 лет не кормить и не поить в течение 4-5 часов перед УЗИ. У старших детей голодный период увеличивается до 5-6 часов. За 1-2 дня до обследования необходимо исключить продукты, вызывающие вздутие (молоко, газированные напитки, соки, свежие овощи и фрукты, бобовые). Если УЗИ органов брюшной полости будет проводится с определением сократительной функции желчного пузыря, необходимо взять с собой пробный завтрак.
УЗИ почек и мочевого пузыря: делается с наполненным мочевым пузырем - необходимо дать ребенку немного попить то, что он любит за 20-30 мин до обследования и не мочиться.
Обратитесь к педиатру - доктор назначит те виды УЗИ, которые необходимы именно Вашему малышу!
О наличии противопоказаний проконсультируйтесь у специалиста
Получение результатов:
Никаких ограничений Вашего привычного режима после исследования не нужно.
Полученные изображения подвергаются тщательному анализу врача ультразвуковой диагностики, с целью получения диагностического заключения.
Результаты исследования выдаются в течение 1-го дня любым удобным для пациента способом:
Центр современных медицинских технологий «АКВА МЕД МАРИН» специализируется на предоставлении следующих услуг
Консультации узких специалистов:
Медицинские (профилактические) осмотры:
Прививки для детей вакцинами:
Фиброгастродуоденоскопия :
Полный спектр лабораторных исследований, в том числе:
Функциональные исследования:
Преимуществом нашей клиники продолжает оставаться низкая цена по сравнению со средним уровнем цен в частных медицинских учреждениях города и при этом самое современное оборудование эксперт класса, применяемое для диагностики и лечения заболеваний!
Запись на прием с 9.00 до 19.00ч (с понедельника по субботу) осуществляется по телефонам:
+7 (978) 8 47 47 14
+7 (918) 921 25 91
+7 (978) 400 54 17
Вся информация на сайте: akvamedmarin@mail.ru
Мы находимся по адресу: г.Керчь, ул. Кирова, 31А (остановка Еременко)

Если вы увидели опечатку в тексте самой статьи, то выделите её и нажмите Ctrl+Enter.